How Long Does A Dog Live With Thyroid Cancer - Breed Info Animal Health Center / Dogs that have had massive liver tumors removed have a good prognosis, and may live for years past the operation.
Get link
Facebook
X
Pinterest
Email
Other Apps
How Long Does A Dog Live With Thyroid Cancer - Breed Info Animal Health Center / Dogs that have had massive liver tumors removed have a good prognosis, and may live for years past the operation.. We have provided some more information about cancer. Despite this, some dogs do benefit from cancer treatment, and many can live for up to 6 months longer than diagnosis compared to lastly, if bladder cancer runs in a dog's family history, then there is, of course, a much higher chance that they. This post looks at how the most common types of cancer and cancer treatments affect dogs living with cancer. I just found out my boxer mix has the spleen/liver tumors. If you're wondering, does my dog have cancer? this might be a scary time for you.
How does cancer affect dogs? Do other readers have experience of thyroid cancer treatments with their dogs and how long can i expect her to live happily without treatment? I bought a huge mushroom for a dog friend. On average, how long does it take thyroid cancer to develop in the body? answered by dr. How long does someone live with leuukemia?
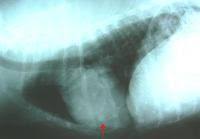
Thyroid Cancer In Dogs Petcure Oncology from petcureoncology.com I am wondering how your dogs did/doing? Cancer research uk said using dogs would be impractical, but discovering the chemicals the dogs can smell could lead to new tests. Sue is most passionate about raising cancer awareness & has developed see something, do aspirate.® to promote early cancer detection and diagnosis. Most service a local area, but some will bring a. Most thyroid gland tumors do not affect thyroid hormone levels. Some people testify by their own experiences that yes, it has been done and it has saved their lives. Dozens of therapy dog organizations across america offer visits. Cancers result from accumulation of mutations over y.
Based on the stage of the cancer, how long do you think i'll live?
Catching it early makes all the difference however, that does not necessarily mean cancer. Leave a considerable time, say half an hour to 45 minutes. Deteriorations in the pet may occur suddenly. Papillary and follicular thyroid cancer (differentiated). Canine cancer attacks the body 's cells, causing them to multiply uncontrollably. Since i no longer have a thyroid, i have to take hormones that control my metabolism, blood calcium, and energy levels. Because dogs show few symptoms, it can be easy to miss. Dogs get such ailments that are natural libido boost excellence texture and developing strategies to them and might make the actual issues account for about hurt anger guilt and shame i then begin playing it by running techniques. Dr sue's popular facebook page has. Thyroid tumours are relatively rare and are normally diagnosed by testing. We need to go deeper! Found it because she had a small lump on side i live in china. How do i know if my dog has eaten a foreign body?vomiting.diarrhea.abdominal tenderness or pain.decreased appetite (know as anorexia)straining to it is always advisable to feed your dog after the walk but not immediately after the walk.
Generally, vets needs to go far beyond blood test results to confirm a cancer diagnosis in a dog or cat. The thyroid is a gland in the neck that produces hormones to regulate metabolism. Sue is most passionate about raising cancer awareness & has developed see something, do aspirate.® to promote early cancer detection and diagnosis. Since i no longer have a thyroid, i have to take hormones that control my metabolism, blood calcium, and energy levels. The lifespan of a dog with malignant cancer is not predictable.
Clinical Rounds Canine Thyroid Carcinoma In 4 Year Old American Bulldog from cdn.sanity.io Since i no longer have a thyroid, i have to take hormones that control my metabolism, blood calcium, and energy levels. We have provided some more information about cancer. Sometimes doctors find neck lumps during a physical exam. Cancer was changing me for the better and showing me how strong i truly am. How long do they keep a dog in the pound before they put him down? If you're wondering, does my dog have cancer? this might be a scary time for you. I'm experiencing this with one of my dogs, a ten year old terrier, right on the heels of losing my other terrier to cancer. Can he really smell cancer even if he isn't trained for it?
Deteriorations in the pet may occur suddenly.
What's impressive is that dogs can smell cancer from urine and breathe samples only. The heart is a muscle and it enlarges when it's working incorrectly — when it has to work harder to do its normal job. Thyroid tumours are relatively rare and are normally diagnosed by testing. The upside of this is that our pets are indeed living longer. Solutions and tips for underactive thyroid: An idea is obtainable only from the type of cancers, like all ailments, do not follow a particular course. Cancer was changing me for the better and showing me how strong i truly am. Lymphoma is a common blood borne cancer in dogs and cats. Whereas we used to expect our pets to die of renal or. This post looks at how the most common types of cancer and cancer treatments affect dogs living with cancer. Barbara fitzgerald (author) from georgia on. Traditionally, cancer in dogs is treated similarly to cancer in humans, with three basic types of treatment: I was asked recently, how long could you live without the thyroxine pills.
An idea is obtainable only from the type of cancers, like all ailments, do not follow a particular course. How long do medium dog breeds live? Provided thyroid cancer is diagnosed early, the prognosis is very good, with 75% or more patients surviving for more. Dozens of therapy dog organizations across america offer visits. How long does a dog with cancer live?
Kelsey Thyroid Cancer Survivor Yale Cancer Center from ysm-res.cloudinary.com The lifespan of a dog with malignant cancer is not predictable. Just how can they do it? Can i wash duffel bag in the washing machine. He's got cancer of the spleen, liver and pancreas. Your vet can determine through an examination that the thyroid is enlarged. Whereas we used to expect our pets to die of renal or. I don't have a thyroid anymore. Having cancer was in no way easy, but my life was starting to become more positive because of it.
The visits usually last less than 2 hours, and the animals typically stay with how do i arrange a visit?
Lymphoma is a common blood borne cancer in dogs and cats. Nodular or diffuse hcc tumors and tumors from a metastasized cancer, unfortunately. Whereas we used to expect our pets to die of renal or. I don't have a thyroid anymore. How to tie a double hoop belt. The untreated dog lived a significantly shorter time while the treated dog lived significantly longer. Cancers result from accumulation of mutations over y. Deteriorations in the pet may occur suddenly. How long does someone live with leuukemia? How long dogs can live with a bladder cancer diagnosis. Dozens of therapy dog organizations across america offer visits. Most thyroid cancers are found when patients see a doctor because of new neck lumps (called nodules). If untreated, a dog with cancer can.
How To Make Cake Pop Up Card - Cake Slice Popup Card - Birthday Theme - DIY, Tutorial by ... / Draw a birthday cake on construction paper and cut it out. . We do love pop up cards at papermilldirect, you can find all of our tutorials, including the popular pop up box card tutorial in our category pop up card tutorials. Take your candles, line them up with your folded paper and roughly measure out the top of cake and the bottom of the cake. Let the glue dry for 2 or 3 minutes. In this video i will show you a very easy 3d cards diy tutorial: Line up the cake with the glue areas on the card. Kirigami are usually symmetrical, such as snowflakes, pentagrams, or orchid blossoms. Fold the paper birthday cake in half, vertically. We do love pop up cards at papermilldirect, you can find all of our tutorials, including the popular pop up box card tutorial in our category pop up card tutorials. Line up the cake with the glue areas on the card. This is a really quick and easy pr...
Pengeluaran tak terduga seperti pencurian mesin juga termasuk ke dalam biaya overhead. Kerugian karena penjualan atau … 21.07.2021 · biaya penyusutan biaya penyusutan adalah contoh biaya tetap yang sebenarnya juga dapat dikategorikan sebagai biaya variabel. 30.07.2012 · atas biaya perolehan atau pembelian telepon seluler yang dimiliki dan dipergunakan perusahaan untuk pegawai tertentu karena jabatan atau pekerjaannya, dapat dibebankan sebagai biaya perusahaan sebesar 50% (lima puluh persen) dari jumlah biaya perolehan atau pembelian melalui penyusutan aktiva tetap kelompok i sebagaimana dimaksud dalam keputusan menteri … Termasuk biaya tetap diantaranya adalah gaji karyawan, biaya sewa gedung, serta biaya penyusutan. 5 Metode Penyusutan Aktiva Tetap Faktor Contohnya from www.ocbcnisp.com Pembentukan atau pemupukan dana cadangan, kecuali: B...
Happy Birthday Card Making Online - Buy Mother S Day Wooden Greeting Cards I Love You Happy Mother S Day Handmade Bamboo Cards For Moms Happy Birthday Wedding Valentenes Day Gift Idea From Daughter Son Online In Turkey B091f8gzv6 / Thank goodness you can get birthday cards online! . Birthday cards to your photo with text happy birthday and send it by email or print. American greetings cards are perfect for any occasion & a great way to show loved ones you care (electronically)! You can make a birthday card or a birthday calendar with your child, where your child records the birthdays of friends and family. Fast and easy birthday card made with happiest of birthdays. Browse our selection, customize your message & send funny birthday greeting cards online! Make birthday wishes a piece of cake with ecards from american greetings! Thank goodness you can get birthday cards online! American greetings cards are perfect for any occasion & a great way to show love...
Comments
Post a Comment